Wisdom tooth extraction with Piezotome costs an additional 1,000,000 VND per tooth.
Wisdom Tooth Extraction
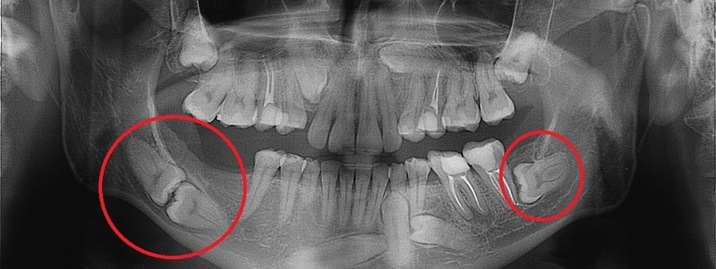
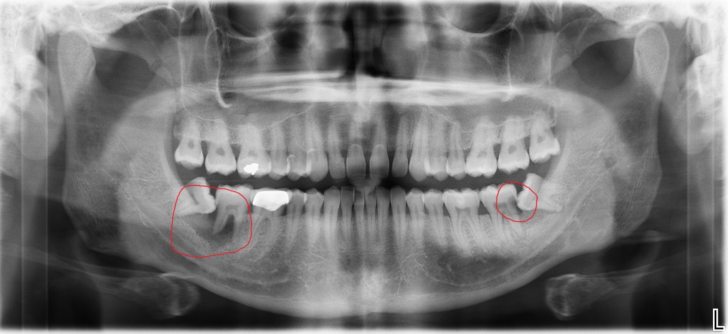
Wisdom teeth, also known as third molars, are the last set of molars to emerge, usually appearing between the ages of 17 and 25. While some people develop all four wisdom teeth, others may have fewer—or none at all. If a wisdom tooth grows in properly, doesn’t cause discomfort, and doesn’t affect your bite, there’s no need to remove it.
However, if a wisdom tooth is painful, misaligned, or leads to oral health issues, your dentist may recommend early extraction to prevent complications.
When Is the Best Time to Remove Wisdom Teeth?
The ideal time for wisdom tooth extraction is typically between ages 17 and 25, when the roots are about two-thirds formed and the jawbone is still relatively flexible. Removing wisdom teeth at this stage tends to be less painful, with fewer complications and faster healing. That said, the decision should always be made in consultation with a dentist to ensure it’s the right choice for your specific dental health.
When Should Wisdom Teeth Be Removed?
If a wisdom tooth grows in straight and doesn’t cause any issues, it can be left alone. However, in most cases, dentists recommend extraction due to potential complications, including:
Standard Wisdom Tooth Extraction Process at 3C Dental Clinic
At 3C Dental Clinic, wisdom tooth extraction follows a strict medical protocol to ensure safety and effectiveness. The procedure typically includes the following steps:
Wisdom Tooth Extraction Methods
Traditional Wisdom Tooth Extraction
This method involves using forceps and an elevator to extract the wisdom tooth. The dentist may need to incise the gum, widen the socket, and apply force to loosen and remove the tooth. While this approach is cost-effective and accessible, it can lead to more pain, swelling, bleeding, and a longer recovery time compared to modern techniques like Piezotome, which offer a gentler and less invasive experience.
Wisdom Tooth Extraction with Piezotome Technology
At 3C Dental Clinic, we utilize advanced Piezotome technology for wisdom tooth extraction, minimizing pain, swelling, and healing time. This method uses ultrasonic waves to precisely separate bone tissue, making it less invasive than traditional extraction. As a result, patients experience a gentler, safer, and more comfortable procedure.
How Much Does Wisdom Tooth Extraction Cost?
Wisdom Tooth Extraction Pricing at 3C Dental Clinic
| Dịch vụ | Đơn giá (VNĐ) | Đơn vị | Ghi chú |
|---|---|---|---|
| Wisdom Tooth Extraction | 1,000,000 – 3,000,000 | Per tooth |
|
| Impacted Tooth Extraction Surgery | 3,000,000 – 5,000,000 | Per tooth |
Ready for a brighter, healthier smile and newfound confidence? Start your journey today with a consultation from 3C’s expert dentists and specialists!
Frequently Asked Questions
Do all wisdom teeth need to be removed?
How can I tell if my wisdom tooth is impacted?
Is an X-ray necessary before wisdom tooth extraction?
Can I have two or four wisdom teeth removed at once?
Is wisdom tooth extraction painful?
What should I avoid after wisdom tooth extraction?
How long does it take for the extraction site to fully heal?




















