Teeth Whitening
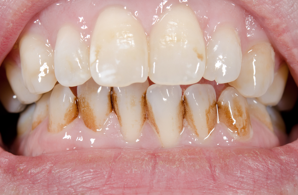
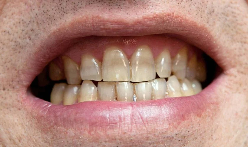
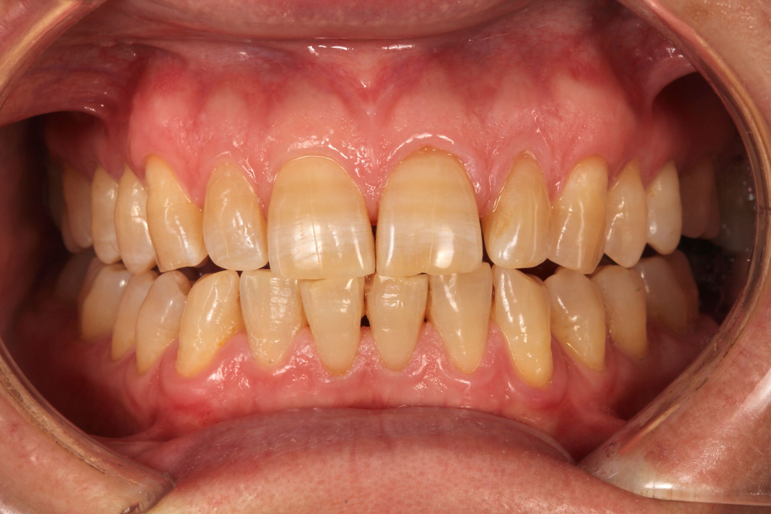
A bright, white smile doesn’t just boost your confidence—it also leaves a lasting impression. Over time, teeth can become stained due to food, drinks, and daily habits. At 3C Dental Clinic our professional teeth whitening service helps restore your smile safely, effectively, and with long-lasting results.
Teeth whitening is a cosmetic dental procedure designed to lighten tooth color and remove stains caused by coffee, tea, smoking, and other factors. The process uses specialized whitening agents, typically hydrogen peroxide or carbamide peroxide, which break down discoloration on the surface and deep within the enamel, giving you a noticeably brighter smile.
Who Should Consider Teeth Whitening?
Teeth Whitening Process at 3C Dental Clinic
At 3C Dental Clinic our teeth whitening procedure follows strict safety standards to ensure high effectiveness while minimizing sensitivity.
This method involves using custom whitening trays and low-concentration gel under the dentist’s guidance, allowing for a gradual brightening effect. While it offers the convenience of whitening at home, results take longer, and improper use may cause tooth sensitivity.
This method uses cold LED light combined with a professional whitening gel to break down stains and discoloration. It delivers fast and effective results while minimizing sensitivity, making it an ideal choice for those looking for a safe and convenient way to brighten their smile.
This method uses blue light activation combined with a specialized whitening gel to remove surface stains and discoloration. In just 45 minutes, your teeth can become 2 to 4 shades brighter, giving you an instantly radiant smile. The advanced technology ensures minimal enamel damage and reduces sensitivity, making it a safe and effective choice.
Price list
| Service | Unit Price (VND) | Unit |
|---|---|---|
| At-home Whitening (1 pair of trays + 2 tubes of whitening gel) | 1,000,000 | 2 arches |
| In-office Beyond Whitening | 3,000,000 | 2 arches |
| In-office Flash Whitening | 5,000,000 | 2 arches |
| Whitening Tray | 300,000 | Per tray |
| Whitening Gel | 300,000 | Per tube |
Ready for a brighter, healthier smile and newfound confidence? Start your journey today with a consultation from 3C’s expert dentists and specialists!
















