Avoid chewing on the treated tooth for a few days to allow it to heal properly. Stick to soft foods and avoid extreme temperatures to prevent sensitivity. Maintain good oral hygiene by brushing gently, flossing daily, and rinsing with salt water. If a crown is recommended, get it placed to protect the tooth. Don’t skip follow-up appointments to monitor the healing process.
Root Canal Treatment
The dental pulp is a vital part of the tooth, containing nerves and blood vessels that keep it nourished. When the pulp becomes inflamed or damaged, timely treatment is crucial to prevent necrosis, infection, and serious complications.
Signs That Your Tooth May Need a Root Canal
Severe tooth pain, especially when chewing or exposed to hot/cold temperatures
The pain may be dull and persistent or sharp and sudden. If it lingers even without any stimulus, this could be a sign of advanced pulp inflammation.
Prolonged sensitivity to temperature changes
If you experience lingering discomfort when consuming hot or cold foods and drinks, lasting for several seconds or minutes, it may indicate pulp damage.
Swollen gums, infection, or pus around the tooth
Redness, swelling, or the presence of pus near the affected tooth can be signs of a serious infection. If you notice pus drainage or persistent bad breath, seeking immediate dental care is essential.
Tooth discoloration
A darkened, grayish, or blackish tooth could indicate pulp necrosis due to a lack of blood supply.
Loose tooth without an apparent cause
If a tooth becomes loose without any trauma, it may be due to pulp damage affecting the surrounding support structures.
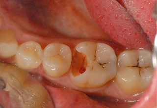
Large cavities and spreading pain
Untreated cavities can extend to the pulp, leading to severe pain and infection. If a visible hole in the tooth is accompanied by pain when chewing or consuming food, a root canal may be necessary.
Early diagnosis and treatment can help save your tooth and prevent further complications. If you notice any of these symptoms, schedule a dental visit as soon as possible.
What are the signs of needing a root canal?
There are a few symptoms that mean you might need a root canal
Root Canal Procedure: Step by Step
Before treatment, your dentist will take X-rays and perform tests to check for pulp infection, inflammation, or necrosis. These tests may include: Sensitivity Test, Electric Pulp Test (EPT), Swelling Examination, Bite Test.
Types of Root Canal Treatments
Non-Surgical Root Canal Treatment
This is the most common root canal procedure, typically recommended when a tooth is severely infected or has deep decay that a regular filling cannot fix. The dentist drills a small opening in the affected tooth to access the root canal, removes the infected pulp tissue, and seals the canal with a specialized filling material.
Root Canal Retreatment
Root canal retreatment involves removing the old filling material, thoroughly cleaning the root canal, and preventing reinfection. The dentist eliminates any remaining infected tissue and replaces the old filling with a new one. Retreatment is necessary when new decay leads to reinfection or if a loose, cracked, or broken crown or filling exposes the tooth to bacteria. If required, a tooth can undergo retreatment multiple times.
Pulp Capping
In some cases, healthy pulp may become exposed due to decay or trauma. If there are no signs of infection, a dentist may perform a pulp capping procedure to preserve the tooth.
There are two main types of pulp capping:
- Direct pulp capping is used when the pulp is fully exposed.
- Indirect pulp capping is performed when the pulp is not directly exposed but is very close to the surface. This technique helps protect the pulp and promotes natural dentin regeneration.
Apicoectomy (Root-End Surgery)
Root Canal Treatment Price List at 3C Dental
Root Canal Treatment
| Service | Unit Price | Unit |
|---|---|---|
| Scaling and Polishing | 400,000 – 500,000 | 2 arches |
| Simple Periodontal Treatment (2–4 sessions of VSRM) | 1,000,000 – 2,000,000 | 2 arches |
| Moderate Periodontal Treatment (with flap surgery) | 3,000,000 – 5,000,000 | 2 arches |
| Complex Periodontal Treatment (flap surgery for both arches) | 6,000,000 – 10,000,000 | 2 arches |
| Periodontal Treatment (root planing) | 300,000 | Per tooth |
| Gingival Contouring | 500,000 | Per tooth |
| Gingival and Alveolar Bone Contouring | 1,000,000 | Per tooth |
| Flap Surgery + Root Surface Debridement | 3,000,000 | 1 sextant region |
| Gingival Recession Treatment | 3,000,000 | Per tooth |
| Periodontal Regeneration | 3,000,000 – 5,000,000 | Per tooth |
Ready for a brighter, healthier smile and newfound confidence? Start your journey today with a consultation from 3C’s expert dentists and specialists!
Frequently Asked Questions
Are there any alternatives to root canal treatment for an infected tooth?
Is a root canal painful?
Does a root canal make the tooth weaker?
Do I need a dental crown after a root canal?
Can a root canal-treated tooth still hurt?
How long does a root canal take?
How long does it take for the pain to subside after a root canal?
How long will a root canal-treated tooth last?
How can I relieve pain after a root canal?
How should I care for my tooth after a root canal?
















