All-ceramic crowns offer superior aesthetics, a natural translucency, and are less likely to cause allergic reactions, making them ideal for those prioritizing appearance. Metal-ceramic crowns are more affordable and durable but may discolor over time due to metal oxidation. Your choice should depend on your budget and aesthetic preferences—consult your dentist for the best option.
Porcelain Crowns
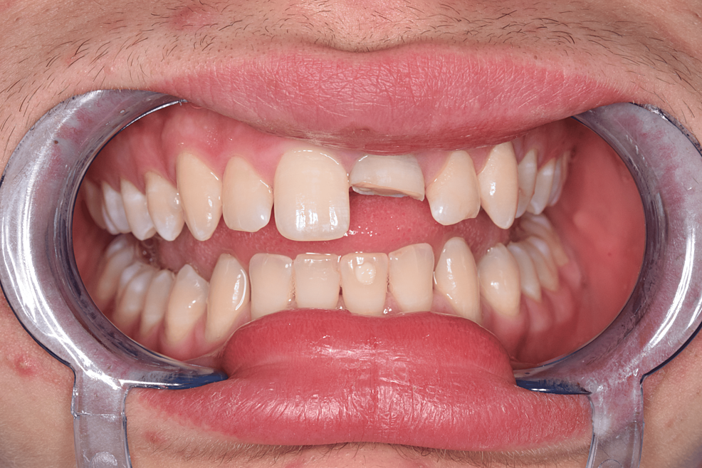
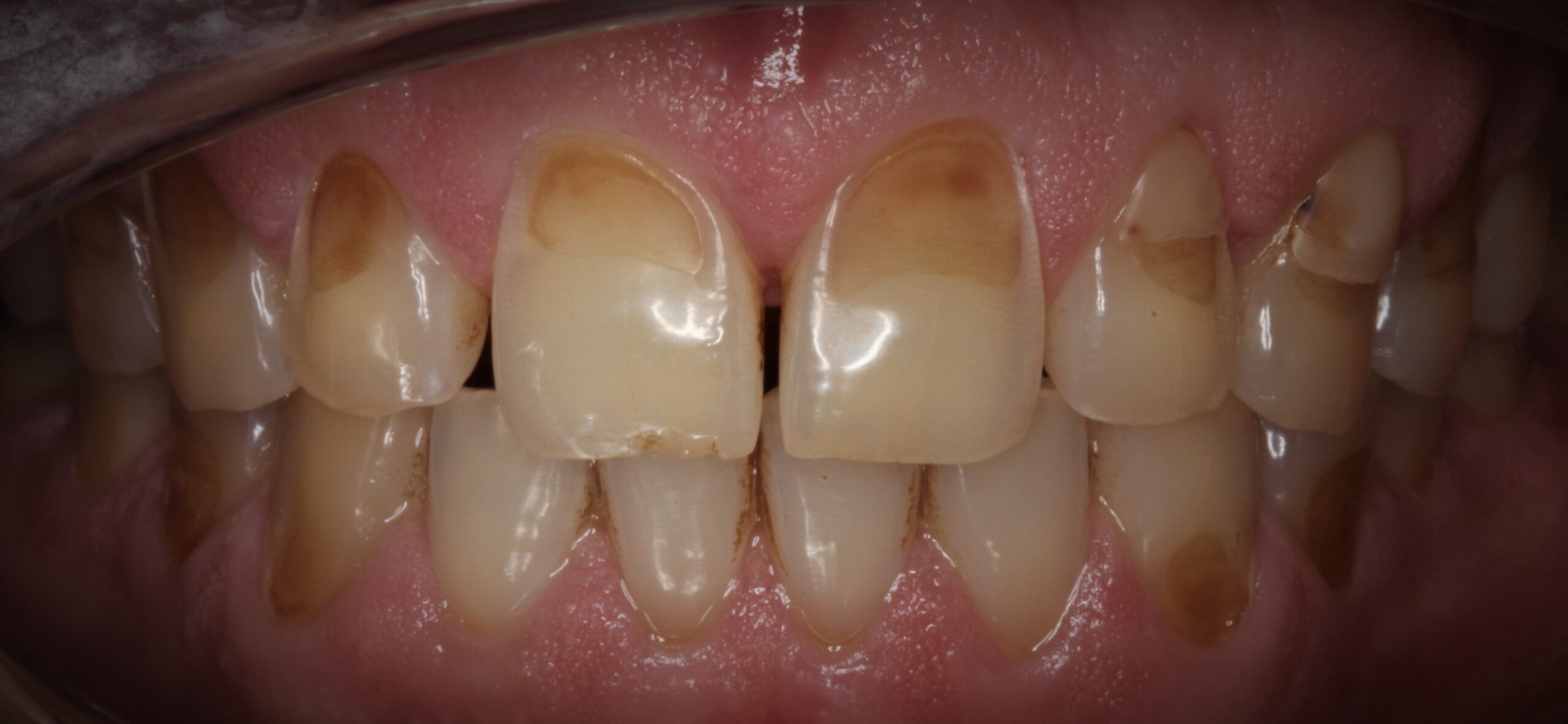
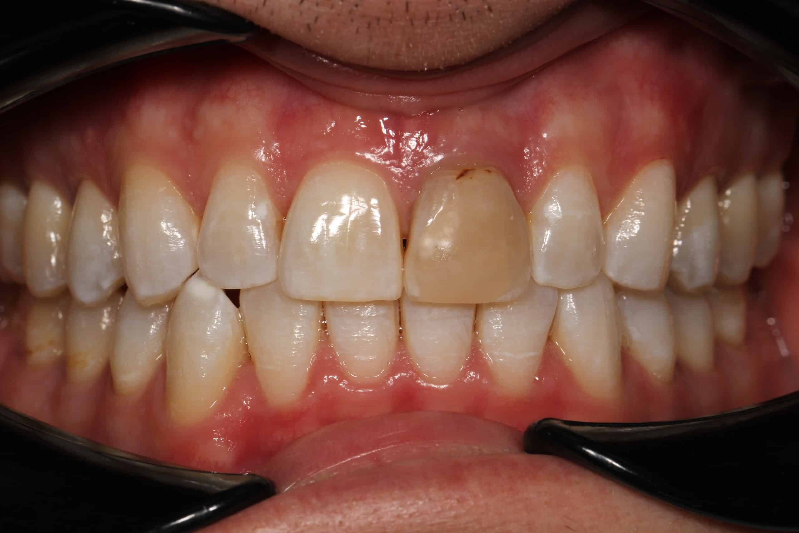
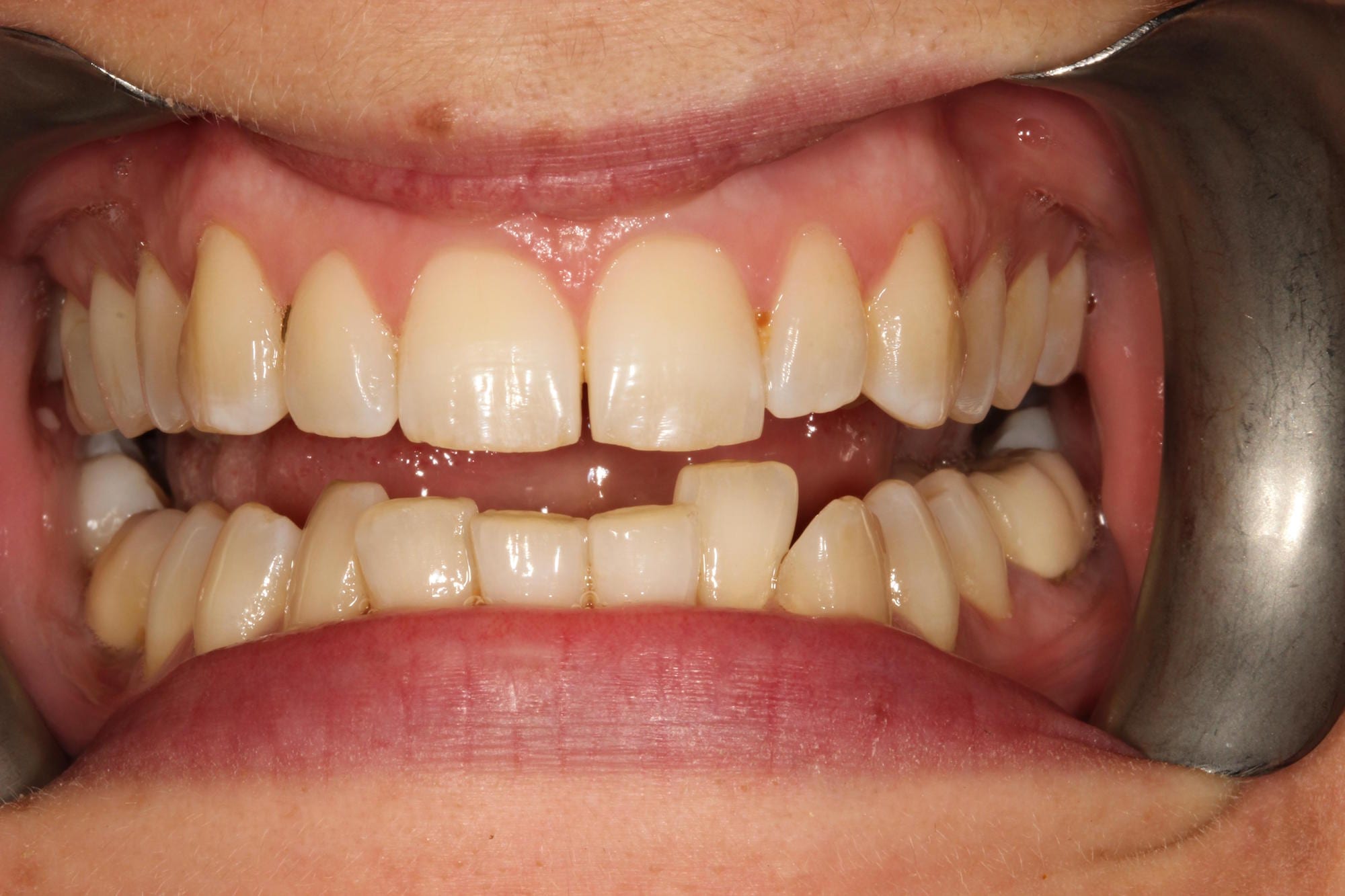
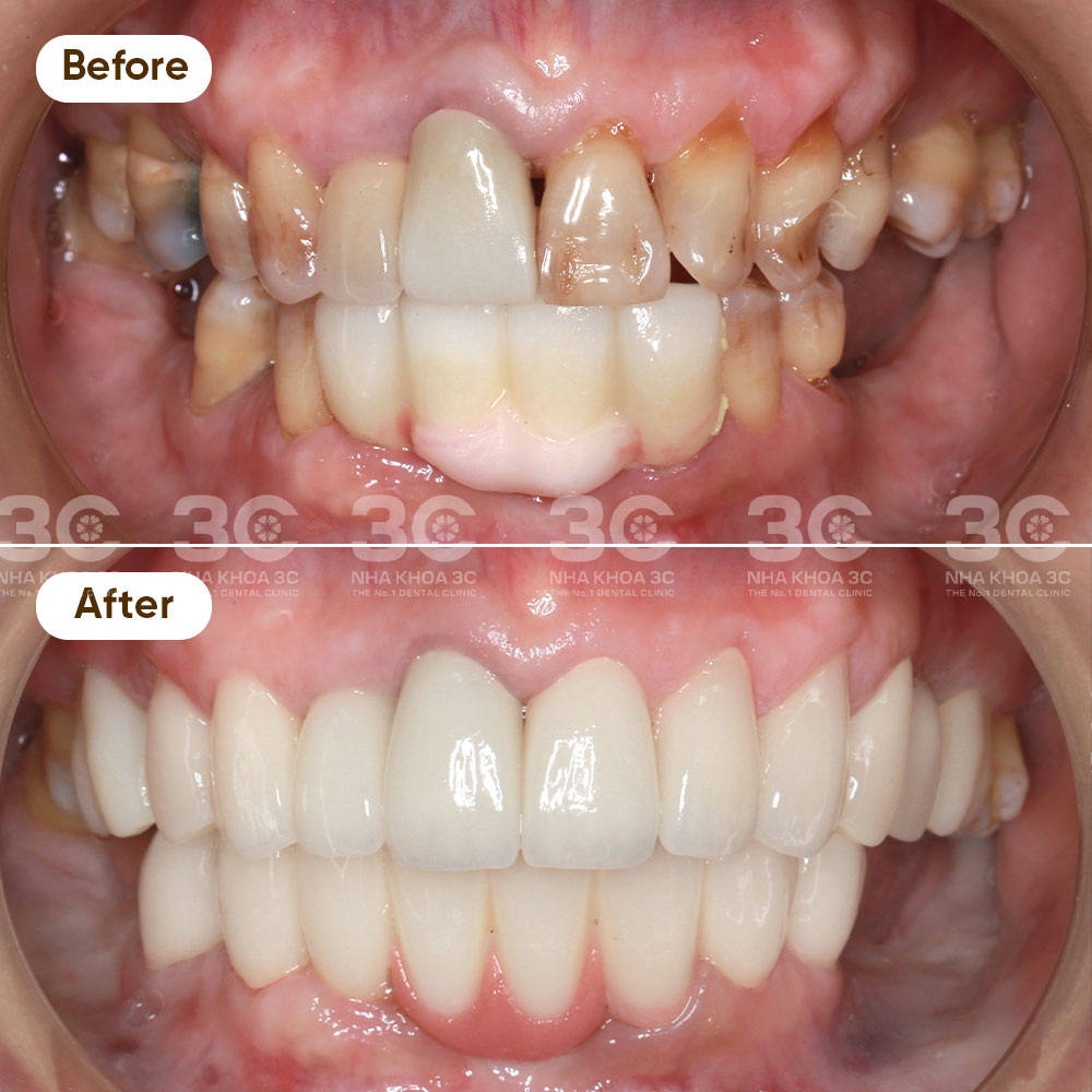
Dental crowning is a cosmetic dental procedure in which a dentist removes a small portion of the natural tooth and places a porcelain crown over it to enhance its shape, color, and function. This is a popular solution for addressing issues such as stained teeth, chipped teeth, gaps, minor misalignment, or irregularly shaped teeth.
Beyond improving aesthetics by creating a brighter, more uniform smile, dental crowns also enhance chewing function and protect weakened teeth from further damage. Some high-quality crowns can last up to 20 years with proper care.
When Should You Consider a Dental Crown?
Experienced Dentists at 3C Dental
Dental Crown Procedure at 3C Dental
Crowning typically requires two appointments and involves the following steps:
Types of Crowns Available at 3C Dental
Metal-Based Crowns
Metal crowns consist of two parts: a metal framework (Titanium or Ni-Cr alloy) and a thin porcelain layer covering the exterior. These crowns have a lower lifespan (typically 3-5 years), an opaque color, and less aesthetic appeal. Some individuals may experience allergic reactions to metal. Over time, they can cause gum discoloration or bad breath. Their main advantage is affordability, making them a recommended choice for molars, which are less visible when smiling.
All-Ceramic Crowns
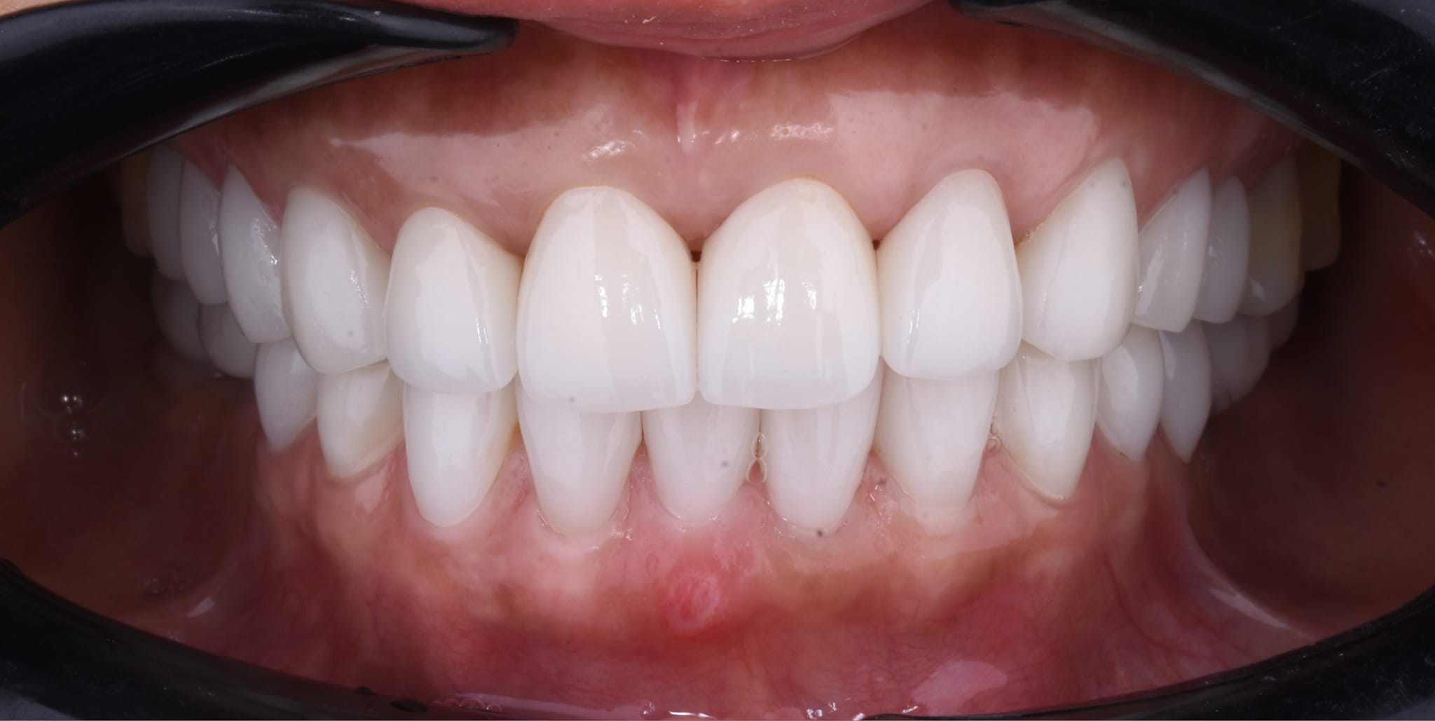
All-ceramic crowns are entirely made of porcelain, with an inner framework crafted from high-quality ceramics such as Zirconia or Lithium Disilicate, and an outer layer of pure porcelain. Compared to metal-based crowns, all-ceramic crowns are preferred due to their superior aesthetics and long-term durability.
- Highly Aesthetic: Natural-looking color, translucency, and shine, without the dark gum lines seen in metal-based crowns.
- Exceptional Durability: Resistant to chipping and cracking, with excellent strength, lasting up to 20 years with proper care.
- Biocompatibility: Metal-free composition ensures safety, prevents gum irritation, and eliminates oxidation over time.
- Stain-Resistant: The smooth, glossy surface prevents staining from tea, coffee, wine, and other foods.
Popular all-ceramic crown options at 3C Dental include Zirconia, Premium Cercon, Cercon, Premium Lava, and Emax crowns.
Dental Crown Pricing at 3C Dental
Dental Crown Pricing
| Service | Unit Price (VND) | Unit | Warranty |
|---|---|---|---|
| Porcelain-fused-to-metal Crown | 2,000,000 | Per tooth | 3 years |
| All-ceramic Zirconia Crown | 5,000,000 | Per tooth | 4 years |
| Premium All-ceramic Emax Crown | 8,000,000 | Per tooth | 5 years |
| Premium All-ceramic Cercon/Lava Crown | 7,000,000 | Per tooth | 5 years |
| Crown Modification / Post Removal | 200,000 | Per tooth | |
| Temporary PMMA Crown | 1,000,000 | Per tooth | |
| Inlay, Onlay, Overlay | 5,000,000 – 8,000,000 | Per tooth | 5 years |
Ready for a brighter, healthier smile and newfound confidence? Start your journey today with a consultation from 3C’s expert dentists and specialists!
Frequently Asked Questions
Does getting dental crowns hurt?
How long do dental crowns last?
Do dental crowns cause bad breath?
Do I need a root canal before getting a crown?
Can I eat normally after getting a dental crown?
Can dental crowns cause gum recession?
Do dental crowns weaken natural teeth?
Can crowned teeth still get cavities?
Should I choose metal-ceramic crowns or all-ceramic crowns?

























