Periodontal treatment

Periodontitis is a severe gum disease that occurs when the supporting structures of the teeth—including the gums, periodontal ligaments, and jawbone—become infected due to bacteria. In most cases, it is caused by bacterial plaque buildup. Other contributing factors include tartar accumulation, smoking, and systemic conditions such as diabetes and cardiovascular disease.

Is Periodontitis Dangerous?

Yes! Periodontitis doesn’t just affect your oral health—it can lead to serious complications if left untreated.

  • Tooth Loss – The infection damages the gums and erodes the jawbone, causing teeth to loosen and eventually fall out.

  • Systemic Health Risks – Bacteria from periodontal pockets can enter the bloodstream, increasing the risk of heart disease, diabetes, stroke, and weakened immunity. In pregnant women, periodontitis has been linked to premature birth and low birth weight.

  • Persistent Bad Breath – The bacterial buildup leads to chronic bad breath, making social interactions uncomfortable.

  • Pain and Discomfort – Advanced periodontitis can cause swollen, bleeding gums, pus formation, and persistent pain, making it difficult to eat and carry out daily activities.

Regular dental check-ups are essential for maintaining healthy gums. If you notice any signs of periodontitis, visit 3C Dental Clinic immediately for a thorough evaluation and professional care. Early treatment is the best way to prevent complications and restore your oral health.

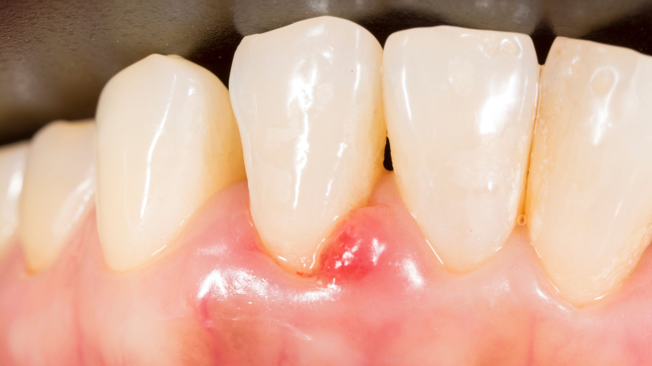
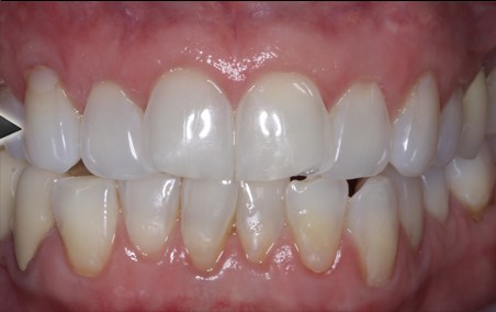
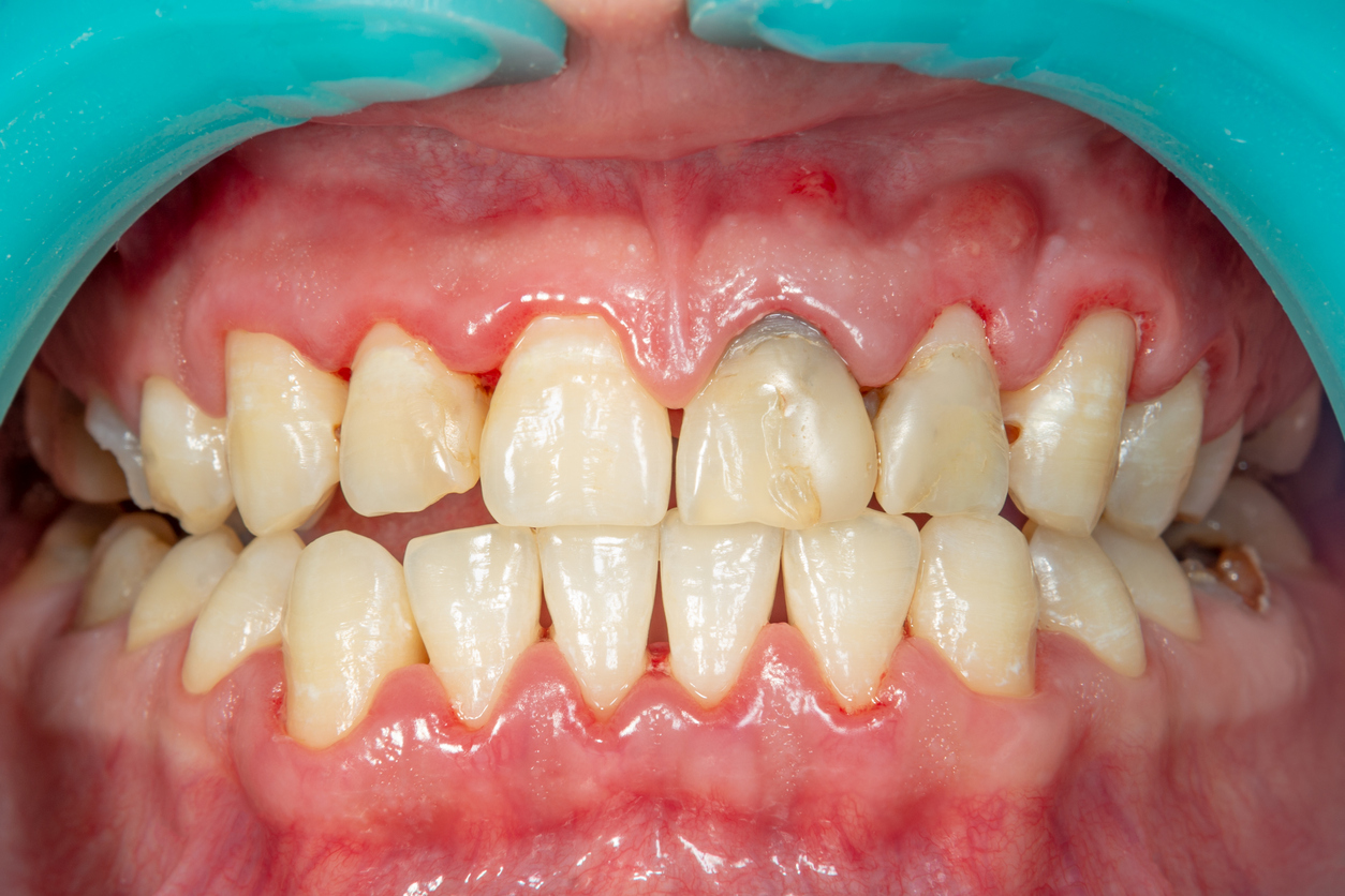
Signs of Periodontitis

Periodontitis is a serious gum disease that can lead to tooth loss if not treated promptly. Here are some common signs to watch for:
Periodontal treatment - Nha Khoa 3C
Gums that bleed easily
Periodontal treatment - Nha Khoa 3C
Swollen, red, and painful gums
Periodontal treatment - Nha Khoa 3C
Persistent bad breath
Periodontal treatment - Nha Khoa 3C
Receding gums, exposing more of the tooth root
Periodontal treatment - Nha Khoa 3C
Loose teeth when touched
Periodontal treatment - Nha Khoa 3C
Formation of periodontal pockets

Why Should You Treat Periodontitis at 3C?

Highly Skilled Dentists
Advanced Treatment Technology
Personalized Treatment Plans
International Standard Sterilization
Transparent & Affordable Pricing

Periodontal treatment - Nha Khoa 3C
Head of General Dentistry
Xem thêm
Periodontal treatment - Nha Khoa 3C
Specialist in Dental Implants & Prosthodontics
Xem thêm
Periodontal treatment - Nha Khoa 3C
Periodontal treatment - Nha Khoa 3C
Specialized orthodontist
Xem thêm
Periodontal treatment - Nha Khoa 3C
Specialized orthodontist
Xem thêm
Scaling

A deep cleaning procedure that removes plaque, tartar, and bacteria from the tooth surface and below the gum line. This is a crucial step in treating and controlling periodontitis, helping to maintain oral health and prevent tooth loss.

Root Planing

This procedure smooths the tooth root surfaces to prevent bacterial buildup and plaque accumulation. It also supports healing and gum tissue regeneration, reducing the progression of periodontitis.

Antibiotic Therapy

Antibiotics can be used in various forms, such as oral medication, direct application into periodontal pockets, or antibacterial mouth rinses. Common antibiotics include Amoxicillin and Metronidazole.

Note: Only take antibiotics as prescribed by a dentist. Do not self-medicate, and always complete the full course to avoid antibiotic resistance.

Flap Surgery

The dentist makes a small incision to lift the gum tissue, allowing better access to clean the tooth roots. After thorough cleaning, the gum is repositioned and sutured back. If bone loss has occurred, the dentist may reshape or regenerate the bone for better gum attachment.

Gum Grafting

When gum tissue has receded due to periodontitis, a small piece of tissue is taken from the palate or a donor source and grafted onto the affected area. This helps cover exposed tooth roots, prevent further gum recession, and improve aesthetics.

Bone Grafting

Recommended when significant bone loss occurs around the tooth roots. The grafting material can be autogenous bone (from the patient), synthetic bone, or donor bone. This procedure strengthens tooth support and encourages new bone growth.

Guided Tissue Regeneration (GTR)

A special membrane is used to stimulate the growth of lost bone and gum tissue. This method prevents unwanted tissue from filling the treated area, ensuring proper bone regeneration.

How much does periodontitis treatment cost?

Periodontal treatment price list at 3C Dental Clinic
Service Price (VND) Unit
Scaling and Polishing 400,000 – 500,000 2 arches
Simple Periodontal Treatment (2–4 sessions of VSRM) 1,000,000 – 2,000,000 2 arches
Moderate Periodontal Treatment (with flap surgery) 3,000,000 – 5,000,000 2 arches
Complex Periodontal Treatment (flap surgery for both arches) 6,000,000 – 10,000,000 2 arches
Periodontal Treatment (root planing) 300 Per tooth
Gingival Contouring 500 Per tooth
Gingival and Alveolar Bone Contouring 1,000,000 Per tooth
Flap Surgery + Root Surface Debridement 3,000,000 1 sextant region
Gingival Recession Treatment 3,000,000 Per tooth
Periodontal Regeneration 3,000,000 – 5,000,000 Per tooth

Ready for a brighter, healthier smile and newfound confidence? Start your journey today with a consultation from 3C’s expert dentists and specialists!

BOOK A CONSULTATION

Frequently Asked Questions

Can periodontitis cause tooth loss?
Does periodontitis affect breath?
Is periodontitis dangerous during pregnancy?
Can periodontitis be treated at home?
Can scaling and root planing cure periodontitis?
Why does periodontitis treatment require multiple visits?
When is tooth extraction necessary for periodontitis?
Is periodontal treatment painful?
How long does periodontal treatment take?
Can periodontitis be completely cured?
How can I prevent periodontitis from coming back?

Dịch vụ khác

Periodontal treatment - Nha Khoa 3C
Porcelain Veneers
Veneers are a modern cosmetic solution that gives you bright, naturally beautiful teeth while preserving your natural enamel. With advanced technology and expert dental care, 3C Dental ensures a comfortable, safe experience with results that last up to 20 years.
Periodontal treatment - Nha Khoa 3C
Orthodontics
Orthodontic treatment at Nha Khoa 3C not only aligns your teeth and improves your bite but also enhances your natural smile and facial harmony. With advanced options such as metal braces, ceramic braces, and clear aligners, we are committed to providing a safe, effective, and personalized treatment plan—offering affordable pricing and flexible payment options, including 0% interest installment plans.
Periodontal treatment - Nha Khoa 3C
Dental Implant
Performed by an implant specialist with over 10 years of experience and a proven track record with numerous patients. Combined with advanced technology to ensure a smooth, fast, and precise implant journey.
This site is registered on wpml.org as a development site. Switch to a production site key to remove this banner.