Orthodontics
Orthodontic treatment involve the use of specialized appliances such as brackets, archwires, and mini-screws to gradually shift teeth into proper alignment, ensuring a more even smile and a well-balanced bite. The treatment duration typically ranges from 1 to 3 years, depending on the dentist’s expertise, the complexity of the case, and the chosen orthodontic method.
Beyond improving aesthetics, braces also enhance oral function by making chewing easier, reducing the risk of gum disease and bite misalignment. In some cases, orthodontic treatment can even eliminate the need for dental implants, promote proper jaw development in children, and improve speech clarity, making communication more effortless.
Why Should Braces Be Performed by an Orthodontist?
Not every general dentist is qualified to perform orthodontic treatment. Braces require a high level of expertise and should be handled by a skilled and experienced orthodontist.
Orthodontists undergo specialized training beyond general dentistry, mastering the science of tooth movement and bite correction. Their in-depth knowledge ensures that the treatment is safe, effective, and delivers both functional and aesthetic results, giving patients a healthy and confident smile.
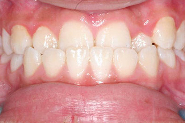
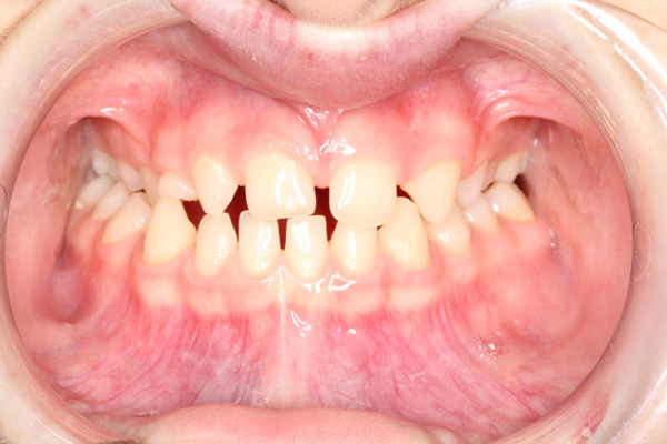
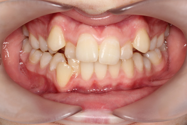
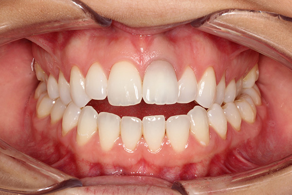
Cases That Require Braces
6 Reasons to Choose Orthodontic Treatment at 3C Dental
3C Dental Clinic’s Expert Orthodontists
Orthodontic Process at 3C Dental
Pitts21 PRO is an advanced self-ligating braces system designed for stable and efficient results. With its 3D control technology, Pitts21 PRO helps shorten treatment time, achieving faster and more predictable outcomes.
- Smooth, rounded bracket design minimizes irritation, providing maximum comfort.
-
Modern bracket system allows early tooth movement, aligning teeth efficiently from the initial stages without excessive pressure, reducing sensitivity.
-
Flexible clip mechanism enables faster and easier adjustments, improving the overall treatment experience.
Damon Ultima is considered a groundbreaking innovation in self-ligating braces, marking a new era in orthodontics worldwide. After years of clinical research, Dr. Nguyễn Trọng Nguyễn introduced the Damon Ultima system to Vietnam, and 3C Dental is the first clinic in Vietnam to implement this advanced technology.
-
More efficient than Pitts21 PRO, potentially reducing treatment time by up to 6 months.
-
Enhanced bracket design ensures greater comfort, minimizing bite interference and making the orthodontic process gentler and smoother.
-
Fewer visits required thanks to superior force and position control. Patients typically only need a check-up every two months, compared to monthly visits with traditional self-ligating braces.
These braces use high-quality ceramic brackets combined with a sliding clip system, securing the archwire without the need for elastic ties like traditional braces.
-
Aesthetic appeal: The ceramic brackets closely resemble natural teeth, making them an excellent choice for those concerned about appearance.
-
Suitable for various cases, from mild to complex bite issues.
Invisalign is a bracket-free orthodontic solution that uses a series of custom-made, transparent aligners to gradually move teeth into place.
-
Virtually invisible: The clear aligners make it nearly undetectable, perfect for individuals who prefer a discreet orthodontic option.
-
Comfortable & removable: No brackets or wires mean less irritation, easier cleaning, and no dietary restrictions.
-
Fewer clinic visits: Since aligners are changed according to a prescribed schedule, patients require fewer check-ups.
-
Limitations: Invisalign is not suitable for severe misalignment cases, and the higher cost may be a consideration for some patients.
3C Dental Clinic Commitment
Orthodontic Process at 3C Dental
How much does orthodontic treatment cost?
| Dịch vụ | Level 1 | Level 2 | Level 3 |
|---|---|---|---|
| The Pitts21 PRO Self-Ligating Metal Braces | 35,000,000 | 40,000,000 | 45,000,000 |
| The Damon Ultima Self-Ligating Metal Braces | 45,000,000 | 50,000,000 | 55,000,000 |
| Self-Ligating Ceramic Braces | 50,000,000 | 55,000,000 | 60,000,000 |
| Invisalign clear aligner treatment | 80,000,000 – 100,000,000 | ||
Ready for a brighter, healthier smile and newfound confidence? Start your journey today with a consultation from 3C’s expert dentists and specialists!
































