Dental Implant
What is a Dental Implant?
Dental implants are an advanced solution for tooth replacement. This procedure involves inserting a titanium implant post into the jawbone to replace the missing tooth root, followed by placing a ceramic crown on top. The result is a fully functional and natural-looking tooth that restores both chewing ability and aesthetics.
Structure of a Dental Implant
A dental implant consists of three main parts:
- Implant Post: Typically made of biocompatible titanium, this post is surgically placed into the jawbone to serve as an artificial tooth root.
- Abutment: A small connector piece that attaches the crown to the implant post.
- Ceramic Crown: A custom-made artificial tooth designed to mimic the shape, size, and function of a natural tooth.
If tooth loss is affecting your confidence, making it difficult to eat or speak, or impacting your overall health, dental implants can help restore your comfort and quality of life.
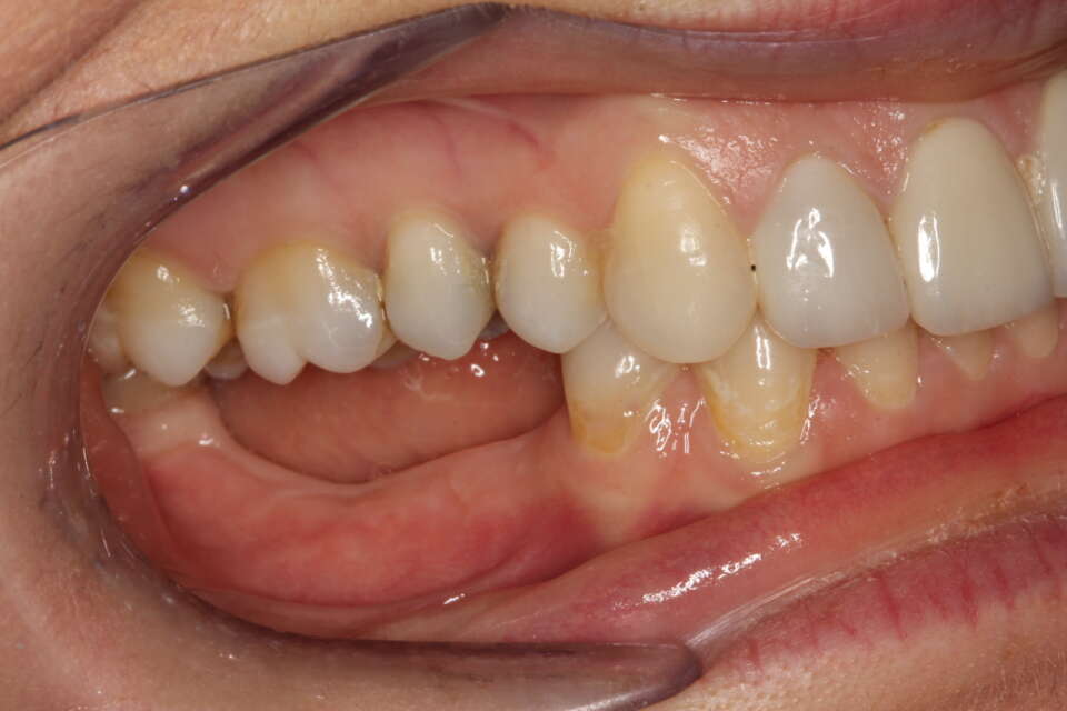
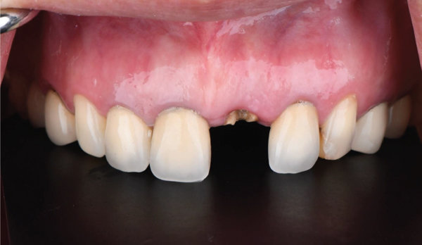
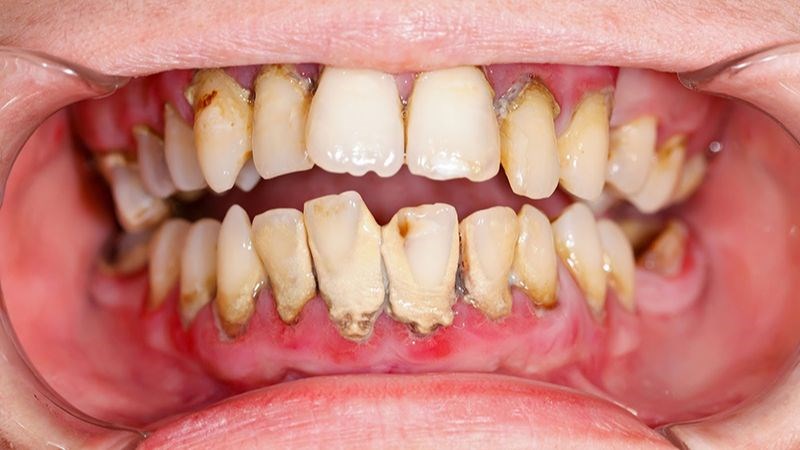
Who Needs Dental Implants?
The Dental Implant Procedure
The process typically involves two main phases: implant placement and crown restoration. The full treatment can take anywhere from 3 to 6 months, depending on the patient’s healing process. Some patients may qualify for immediate-load implants, allowing them to receive functional teeth right after surgery.
A single-tooth implant is ideal for replacing an individual missing tooth while preserving the health of surrounding teeth. This method provides a stable, natural-looking solution that maintains jawbone integrity and prevents bone loss. It offers superior chewing function and durability compared to traditional bridges.
When multiple consecutive teeth are missing, two or more implants are placed to support a dental bridge. This approach avoids the need to file down adjacent natural teeth, as required for traditional bridges. Implant-supported bridges offer enhanced stability, preserve jawbone structure, and provide better chewing efficiency compared to removable dentures.
Full-arch implants are a comprehensive solution for patients who have lost all teeth in the upper or lower jaw. Using 4 to 6 strategically placed implants, this technique supports a full set of fixed replacement teeth. Compared to removable dentures, full-arch implants offer superior stability, comfort, and long-term functionality, allowing patients to eat and speak confidently.
Dental Implant Pricing at 3C Dental Clinic
| Implant Type | Price | Unit | Warranty |
| Korean Standard Implant (Hiossen/…) with Titanium Porcelain Crown | 20,000,000 | Fixture + Crown | Fixture: 5 years; Crown: 3 years |
| Korean Standard Implant (Hiossen/…) with All-Ceramic Zirconia Crown | 25,000,000 | Fixture + Crown | Fixture: 5 years; Crown: 5 years |
| American Standard Implant (Adin/…) with Titanium Porcelain Crown | 30,000,000 | Fixture + Crown | Fixture: 8 years; Crown: 3 years |
| American Standard Implant (Adin/…) with All-Ceramic Zirconia Crown | 35,000,000 | Fixture + Crown | Fixture: 8 years; Crown: 5 years |
| European Standard Implant (Nobel/Straumann) with All-Ceramic Zirconia Crown | 50,000,000 | Fixture + Crown | Fixture: 10 years; Crown: 5 years |
| Implant System (Restoration Type) | All-On-4 (VND) | All-On-6 (VND) | Unit |
| A. Screw-Retained Full Arch Restoration – Implant + Composite Resin Prosthesis | |||
| Korean Standard Implant (Hiossen) with Composite Resin Prosthesis | 140,000,000 | 160,000,000 | Per arch |
| American Standard Implant (Adin) with Composite Resin Prosthesis | 180,000,000 | 200,000,000 | Per arch |
| European Standard Implant (Nobel/Straumann) with Composite Resin Prosthesis | 230,000,000 | 280,000,000 | Per arch |
| B. Screw-Retained Full Arch Restoration – Implant + Porcelain-Fused-to-Metal Prosthesis | |||
| Korean Standard Implant (Hiossen) with Porcelain-Fused-to-Metal Prosthesis | 180,000,000 | 220,000,000 | Per arch |
| American Standard Implant (Adin) with Porcelain-Fused-to-Metal Prosthesis | 220,000,000 | 250,000,000 | Per arch |
| European Standard Implant (Nobel/Straumann) with Porcelain-Fused-to-Metal Prosthesis | 280,000,000 | 350,000,000 | Per arch |
| C. Screw-Retained Full Arch Restoration – Implant + All-Ceramic Prosthesis | |||
| Korean Standard Implant (Hiossen) with All-Ceramic Prosthesis (Zirconia) | 210,000,000 | 250,000,000 | Per arch |
| American Standard Implant (Adin) with All-Ceramic Prosthesis (Zirconia) | 250,000,000 | 280,000,000 | Per arch |
| European Standard Implant (Nobel/Straumann) with All-Ceramic Prosthesis (Zirconia) | 310,000,000 | 380,000,000 | Per arch |
Ready for a brighter, healthier smile and newfound confidence? Start your journey today with a consultation from 3C’s expert dentists and specialists!






















